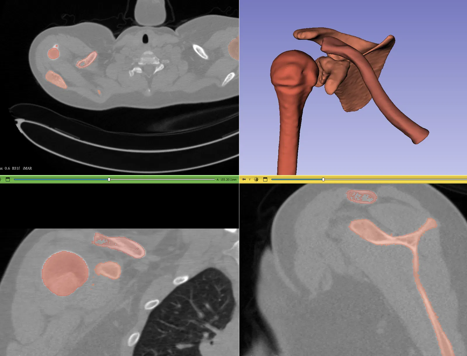
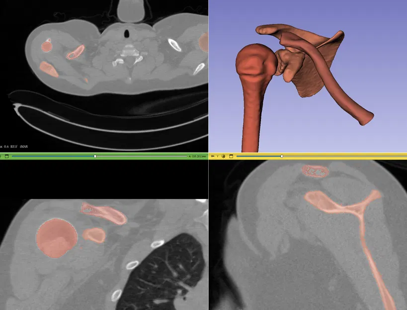
Xương Đòn Trái (Clavicle Left)

Dễ dàng in được Xương đòn trái (Clavicle Left) cho các ứng dụng y tế, được tạo từ ảnh CT và phân đoạn hình ảnh trong 3D slicer. Một mô hình xương chi tiết cho dự án in 3D của bạn.

👁️
537
Lượt Xem
❤️
19
Lượt Thích
📥
215
Lượt Tải
Cập Nhật Dec 15, 2025
Chi tiết
Tải xuống
Bình Luận
Khoe bản in
Remix

Mô tả

Dễ dàng in được Xương đòn trái.

Phân đoạn hình ảnh được thực hiện trong 3D slicer. Được tạo từ ảnh CT của tay trái tôi.

Giấy phép

Tác phẩm này được cấp phép theo

Creative Commons — Attribution — Noncommercial — NoDerivatives

CC-BY-NC-ND

Yêu cầu ghi công
Remix & phái sinh Không được phép
Sử dụng thương mại Không được phép

File mô hình

TẤT CẢ FILE MÔ HÌNH (1 Tập tin)
Đang tải files, vui lòng chờ...
Vui lòng đăng nhập để bình luận.

Chưa có bình luận nào. Hãy là người đầu tiên!

Vui lòng đăng nhập để khoe bản in của bạn.

Chưa có bản in nào được khoe. Hãy là người đầu tiên!

Remix (0)